کوکسیدیوز در بلدرچین یک بیماری مهم رودهای است که توسط گونههای مختلف Eimeria از جمله E. bateri، E. uzura، E. tsunodai و چند گونه دیگر ایجاد میشود. این انگل با تکثیر در مخاط روده باعث تخریب پرزها، التهاب شدید، کاهش جذب مواد غذایی و بروز علائمی مانند اسهال (گاه خونی)، بیاشتهایی، ضعف، کاهش وزن و افت عملکرد رشد میشود. تشخیص معمولاً با مشاهده اووسیستها در مدفوع انجام میشود. در برخی مطالعات، روشهای مولکولی نیز برای شناسایی دقیق گونهها استفاده شده است. بر اساس نتایج پژوهشها، ایمنسازی با اوسیست زنده در دوز پایین یکی از مؤثرترین روشهای کنترل است و موجب کاهش ضایعات روده و بار انگل میشود. همچنین برخی ترکیبات گیاهی میتوانند شدت بیماری را کاهش دهند. رعایت اصول مدیریتی، بهداشت مناسب، کنترل بستر و تغذیه صحیح، نقش مهمی در پیشگیری و کاهش گسترش کوکسیدیوز در گلههای بلدرچین دارد.
کوکسیدیوز در بلدرچین
کوکسیدیوز، یک بیماری انگلی رودهای است که توسط گونههایی از Eimeria در بلدرچین (بهویژه (Coturnix coturnix japonica ایجاد میشود. این بیماری به عنوان یکی از چالشهای مهم در پرورش بلدرچین شناخته شده، زیرا میتواند تأثیر منفی جدی بر رشد، سلامت دستگاه گوارش، و تولید مثل پرندگان داشته باشد.
سویههای شایع آیمریا در بلدرچین
مطالعات مختلف نشان دادهاند که چند گونه از Eimeria در بلدرچین شایع هستند. در بسیاری از فارم ها ، گونههایی چون E. bateri, E. uzura, E. tsunodai و برخی گونههای دیگر مشاهده شدهاند.
در برخی مطالعات مولکولی نیز، تنوع ژنتیکی بیشتری دیده شده است؛ مثلاً با استفاده از تکنیکهای PCR بر روی ژن ۱۸SrRNA ، چند ژنوتیپ از Eimeria در بلدرچین شناسایی شدهاند.
گونههایی مانند E. tsunodai عمدتاً در سکوم و E. uzura در روده کوچک و سکوم بهعنوان سویههایی با اهمیت بالاتر معرفی شدهاند.

علائم بالینی کوکسیدیوز در بلدرچین
کوکسیدیوز در بلدرچین میتواند به شکل بالینی یا تحت بالینی ظاهر شود. در شکل بالینی، پرندگان ممکن است اسهال، گاهی با موکوس یا خون در مدفوع، داشته باشند که میتواند نشاندهنده تخریب مخاط روده یا التهاب شدید باشد. علائم عمومیتر نیز شامل مرگ و میر، ضعف عمومی، پرهای ژولیده، بیاشتهایی، کاهش وزن، و کاهش رشد و افزایش ضریب تبدیل هستند.
در صورت درگیری سکوم، ممکن است این بافت بهصورت متورم و بادکرده دیده شود و گاهی با محتویات خونآلود در کالبدگشایی.
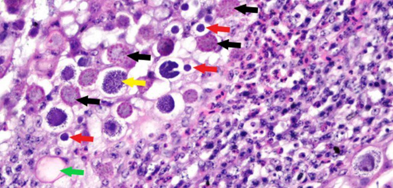
در مطالعات آسیبشناسی، مراحل تکاملی Eimeria مثل شیزونتها یا گامتها در اپیتلیوم مخاط روده مشاهده شدهاند که منجر به تخریب بافت مخاطی، تغییر ساختار پرزهای رودهای و کاهش توان جذب مواد مغذی میشود.

تشخیص بیماری
تشخیص کوکسیدیوز در بلدرچین معمولاً با ترکیب روشهای آزمایشگاهی انجام میشود. یکی از روشها، جمعآوری مدفوع، شناورسازی (flotation) و سپس اندازهگیری شاخص شکل اوسیست (طول به عرض) پس از اسپورولاسیون آنها است.
در سطح بافتی، برای تشخیص مراحل تکاملی Eimeria از نمونهبرداری روده (بهویژه دئودنوم، ژژونوم، ایلئوم و سکوم) و رنگآمیزی با هماتوکسیلین–ائوزین (Hematoxylin–Eosin) و PAS
(Periodic-Acid Schiff)استفاده میشود تا شیزونتها، گامتها و مراحل جنینی دیگر دیده شوند.
همچنین روشهای مولکولی مثل PCR روی ژنهای ۱۸SrRNA در برخی مطالعات بهکار رفتهاند تا گونههای مختلف Eimeria را به تفکیک شناسایی کنند و تشخیص دقیقتری ارائه دهند.
پاتوژنزیس و اثرات بر روده
پس از ورود اوسیستهای اسپوره شده به دستگاه گوارش، Eimeria مراحل پیچیدهای از چرخه زندگی خود را طی میکند که شامل شیزوگونی (تقسیم غیرجنسی) و گامتوگونی (تولید گامت) است. این مراحل داخل سلول مخاطی روده رخ میدهند و باعث تخریب اپیتلیوم و زیرمخاط میشوند.
تخریب ساختار مخاطی روده منجر به کاهش پرزهای رودهای، التهاب، اختلال در جذب مواد مغذی و در نهایت اختلال در جذب میشود، که باعث کاهش رشد، ضعف عمومی و کاهش کارایی تغذیه پرنده میگردد.
در نوع سکومی کوکسیدیوز، آسیب به مخاط روده کور (سکوم) بسیار شدید است، به طوری که مراحل تکاملی Eimeria tsunodai با تعداد بسیار بالا درون اپیتلیوم سکوم دیده شدهاند.
این تغییرات سلولی و بافتی، علاوه بر اثرات روی جذب، میتواند زمینهساز عفونتهای ثانویه و ضعف سیستم ایمنی شود، چون مخاط آسیب دیده دیگر قادر به دفاع طبیعی در برابر پاتوژنها نیست.

درمان قطعی کوکسیدیوز
در مطالعات مربوط به درمان کوکسیدیوز در بلدرچین، راهکارهای مختلفی مورد بررسی قرار گرفتهاند. در برخی کشورها، ممکن است واکسن اختصاصی برای بلدرچین در دسترس نباشد و بنابراین، تمرکز بر روشهای دیگر برای کنترل بیماری اهمیت پیدا میکند.
یکی از روشهای مؤثر که در چندین مطالعه بررسی شده، استفاده از ترکیبات گیاهی و محصولات طبیعی است. عصارههای گیاهی و افزودنیهای طبیعی در خوراک بلدرچین میتوانند باعث کاهش بار اووسیست در مدفوع، کاهش ضایعات روده و اسهال و بهبود عملکرد دستگاه گوارش پرندگان شوند. این ترکیبات ممکن است در مقایسه با درمانهای شیمیایی به عنوان یک روش کمخطر، مقرون به صرفه و قابل استفاده در فارمهایی که دسترسی به واکسن محدود است، بسیار مورد توجه قرار گرفته است. استفاده از این ترکیبات در کنار بهبود شرایط مدیریتی و بهداشتی مانند کنترل تراکم گله، رعایت بهداشت بستر و تغذیه مناسب، میتواند به طور قابل توجهی شدت بیماری و انتشار کوکسیدیوز در گلههای بلدرچین را کاهش دهد. در بخش مدیریت بهداشتی فارم برای کنترل کوکسیدیوز، مدیریت بهداشت بستر نقش مهمی ایفا می کند. به این منظور می توان از تاثیر افزودنی های طبیعی خوراک مانند آنتی آمونیوم اکسترا که باعث کاهش رطوبت بستر ، ایجاد شرایط نامساعد برای تکثیر آیمریاها و همچنین کاهش میزان آمونیاک سالن، بهره گرفت.

برای اطلاعات بیشتر در مورد افزودنی طبیعی خوراک آنتی آمونیوم اکسترا اینجا کلیک کنید
برای خرید افزودنی طبیعی خوراک آنتی آمونیوم اکسترا اینجا کلیک کنید
بهترین داروی ضدکوکسیدیوز
محققان به این نتیجه رسیده اند که استفاده از ترکیبات گیاهی و محصولات طبیعی میتواند رویکردی مؤثر و پایدار برای پیشگیری و کنترل کوکسیدیوز در بلدرچین باشد. در این میان ترکیبات گیاهی مانند کوکسی فیت با مکانیسمهای متنوعی از جمله توقف تکثیر اووسیستها، بهبود سلامت مخاط روده، اثرات ضدالتهابی و آنتی اکسیدانی، درمان اسهال و افزایش بازدهی پروتئین مصرفی و عبوری به کاهش شدت بیماری کمک میکنند.

برای اطلاعات بیشتر درمورد پودر مخلوط در خوراک کوکسی فیت اینجا کلیک کنید
برای خرید پودر مخلوط در خوراک کوکسی فیت اینجا کلیک کنید
با توجه به بروز مقاومتهای دارویی در برابر برخی درمانهای شیمیایی، بهرهگیری از عصارهها و ترکیبات گیاهی نه تنها اثربخشی قابل قبولی دارد، بلکه به کاهش عوارض جانبی و خطرات زیستمحیطی مرتبط با داروهای شیمیایی کمک میکند. ترکیب استفاده از داروهای گیاهی با مدیریت بهداشتی مناسب، تغذیه متعادل و کاهش تراکم پرندگان، میتواند یک استراتژی جامع و کمخطر برای کنترل کوکسیدیوز باشد. این رویکرد بهویژه در شرایطی که مقاومت دارویی مشاهده میشود، جایگزینی مؤثر و پایدار برای کنترل بیماری فراهم میکند.
نکات مدیریتی
از آنجایی که کوکسیدیوز در بلدرچین یک چالش عفونی مهم است، پیشنهاد میشود مدیران مزارع بلدرچین به نکات زیر توجه ویژه داشته باشند:
- پایش منظم بر وجود علائم بالینی (مثل اسهال، خون در مدفوع، ضعف) و واکنش سریع به بروز آنها.
- استفاده از تشخیص منظم با جمعآوری مدفوع و آزمایش شناورسازی، و در صورت امکان ارزیابی بافتی یا مولکولی برای شناسایی گونههای Eimeria .
- ترکیب روشهای درمانی با کنترل مدیریتی: بهبود بهداشت محیط، تغذیه مناسب، کاهش استرس پرندگان و مدیریت تراکم جمعیت.
- استفاده از داروهای گیاهی که کارایی کافی داشته باشند و مقاومت ایجاد نشود، همراه با پایش منظم بار اوسیست بعد از درمان.